Nội Dung Chính
Trang 32
| Khởi động Chụp X-quang, chụp cắt lớp đóng vai trò rất quan trọng trong việc chẩn đoán và điều trị bệnh. Phương pháp này hỗ trợ bác sĩ quan sát hình ảnh các bộ phận bên trong cơ thể người bệnh mà không cần phải phẫu thuật. Vậy chụp X-quang, chụp cắt lớp được thực hiện như thế nào? |
I. CHỤP X-QUANG TRONG CHẨN ĐOÁN Y HỌC
Chụp X-quang là phương pháp chẩn đoán hình ảnh cho kết quả nhanh trong thời gian ngắn, giúp bác sĩ phát hiện được rất nhiều bệnh lí liên quan đến xương khớp, khoang ngực, ổ bụng, từ đó có phác đồ điều trị kịp thời cho bệnh nhân. Hình 6.1 là hình ảnh của phòng chụp X-quang.

Hình 6.1. Phòng chụp X–quang
Hình 6.2 là sơ đồ nguyên lí chụp X-quang. Tia X từ máy chụp X-quang có khả năng truyền thẳng và đâm xuyên qua vật chất, ở đây cụ thể là cơ thể người. Tia X bị hấp thụ một phần sau khi xuyên qua vật chất, làm cho cường độ chùm tia X giảm đi. Nhờ tính hấp thụ này mà hình ảnh hiển thị trên phim chụp sẽ có độ đậm, nhạt khác nhau.

Hình 6.2. Sơ đồ nguyên lí chụp X–quang
Tuỳ thuộc vào độ dày, mật độ cấu trúc của bộ phận cần chụp mà tia X sẽ có sự suy giảm khác nhau. Sau khi đi qua bộ phận cần chụp, chùm tia X gặp bộ phận thu nhận (phim, cảm biến,...), tiếp theo là quá trình xử lí hình ảnh để cho ra kết quả cuối cùng.
Trang 33
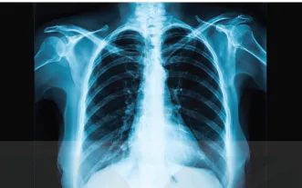
Trong chụp X-quang, các mô dày, đặc (ví dụ như xương) sẽ chặn hầu hết tia X, trong khi các mô mềm như mỡ hoặc cơ, chặn ít hơn. Các mô chặn nhiều tia X sẽ hiển thị dưới dạng vùng trắng trên nền đen. Các mô mềm chặn ít tia X hơn được hiển thị với màu xám. Với những khối u, mô thường dày và đặc hơn các mô xung quanh, vì vậy chúng có màu xám nhạt hơn. Các cơ quan chứa nhiều không khí (chẳng hạn như phổi) thường có màu đen (Hình 6.3).

Hình 6.3. Hình ảnh chụp X-quang phổi
Để hình ảnh chụp X-quang đạt hiệu quả cao như mong muốn, người ta cần tính toán thời gian chụp, cường độ chùm tia X, liều lượng chiếu,... phù hợp để cho hình ảnh rõ nét, giúp bác sĩ chẩn đoán bệnh nhanh và chính xác, đồng thời làm giảm thiểu tác hại của tia X đối với bệnh nhân.
Câu hỏi
1. Nêu nguyên lí chụp X-quang trong y học.
2. Giải thích tại sao trên phim chụp X-quang lại có màu đậm, nhạt khác nhau.
3. Nêu một số ưu và nhược điểm của chụp X-quang.
Tia X, giống như tất cả các bức xạ, nó có thể làm hỏng các mô sống. Do đó, khi chụp X-quang các bác sĩ cần tính toán liều chiếu phù hợp, thông thường liều chiếu được giữ ở mức tối thiểu phù hợp với yêu cầu cần chụp.
Tia X bị hấp thụ yếu bởi phim ảnh, vì vậy, nếu khi chụp dùng phim thông thường, bệnh nhân phải tiếp xúc với tia X có cường độ cao, trong thời gian dài gây tác hại không mong muốn đối với bệnh nhân. Hiện nay, với sự phát triển của khoa học công nghệ, khi chụp X-quang, người ta sử dụng thêm tấm vật liệu có chứa phosphorus là chất phát ra ánh sáng nhìn thấy khi nó hấp thụ tia X. Phim được kẹp giữa hai tấm vật liệu này, mỗi photon tia X bị hấp thụ tạo ra vài nghìn photon ánh sáng sau đó làm đen phim. Điều này làm giảm mức độ phơi nhiễm của bệnh nhân xuống hàng trăm lần. Nhờ đó mà sự ảnh hưởng của tia X tới bệnh nhân khi được chỉ định chụp X-quang giảm đáng kể.
Câu hỏi
Nêu một số biện pháp để rút ngắn thời gian chụp X-quang.
Trang 34
II. CẢI THIỆN HÌNH ẢNH CỦA CHỤP X-QUANG
Để chụp X-quang đạt hiệu quả như mong muốn, cần thực hiện các công việc sau:
- Cải thiện độ sắc nét của hình ảnh, nhờ đó quan sát được chi tiết hơn.
- Cải thiện độ tương phản của hình ảnh, để tạo ra sự khác biệt giữa các bộ phận nhằm hiển thị rõ ràng hơn trong hình ảnh.
1. Cải thiện độ sắc nét
Để có được hình ảnh rõ nét của cơ quan, bộ phận trong cơ thể cần chụp, đáp ứng tốt yêu cầu chẩn đoán hình ảnh thì kĩ thuật chụp X-quang cần phải tạo ra chùm tia X song song, hẹp để kết quả chụp đạt hiệu quả như mong muốn.
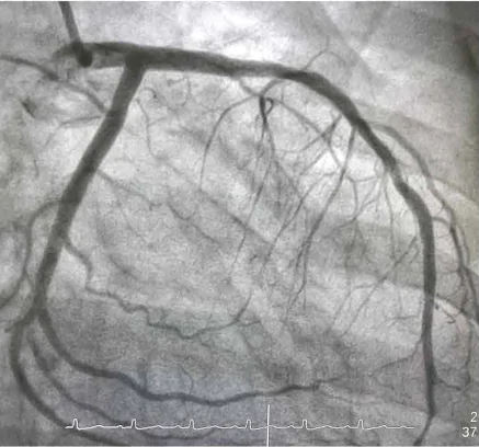
Hình 6.4 cho thấy hình ảnh chụp X-quang rất sắc nét của động mạch vành. Độ sắc nét của hình ảnh phụ thuộc rất nhiều vào độ rộng của chùm tia X.

Hình 6.4. Hình ảnh X-quang của động mạch vành
Ta biết rằng bóng của một vật chắn sáng sẽ sắc nét hơn nếu nó được chiếu sáng bởi một nguồn sáng hẹp, thay vì một nguồn sáng rộng (Hình 6.5).
Hình 6.5. Nguồn sáng hẹp tạo ra vùng bóng nữa tối nhỏ hơn giúp cải thiện độ sắc nét của bóng
Nguồn sáng hẹp
Vật chắn
Bóng nửa tối
Bóng tối
Màn
Nguồn sáng rộng
Vật chắn
Bóng nửa tối
Bóng tối
Màn
Hình 6.6
a) Chùm electron hẹp và kích thước anode hẹp cho chùm tia X hẹp
b) Chùm electron rộng và kích thước anode rộng cho chùm tia X rộng
Chùm tia X hẹp
Chùm electron
Anode
Chùm tia X rộng
Trang 35
Vì vậy, một nguồn tạo tia X tốt phải tạo ra một chùm tia X song song, hẹp. Muốn thực hiện được điều này thì độ rộng của chùm electron do máy tạo ra phải hẹp (Hình 6.6). Ngoài ra, cần điều chỉnh kích thước của khẩu độ tại cửa sổ thoát tia X bằng cách sử dụng các tấm chì có thể điều chỉnh độ rộng của chùm tia X.
Khi chụp X-quang, một số tia X sau khi đi qua cơ thể bị tán xạ (lệch một góc so với phương ban đầu). Nếu các tia X này tới được bộ phận thu nhận tín hiệu sẽ làm giảm độ sắc nét của hình ảnh. Để cải thiện độ rõ nét của hình ảnh, người ta sử dụng một tấm chống tán xạ để hấp thụ chúng. Tấm chống tán xạ được làm bằng vật liệu mà tia X khó có thể xuyên qua (chẳng hạn như chì), đan xen với vật liệu mà tia X dễ dàng đi qua (chẳng hạn như nhôm). Tấm chống tán xạ tia X được đặt ngay phía trên của máy thu tín hiệu, nhờ đó chì sẽ hấp thụ các tia X tán xạ, không cho phép các tia X này tới bộ phận nhận tín hiệu (Hình 6.7).

Hình 6.7. Sơ đồ minh họa các tia X tán xạ bị hấp thụ bởi tấm chống tán xạ
Chùm tia X chuẩn trực
Cơ thể
Tấm chống tán xạ -
Thu tín hiệu
Tia X tán xạ
Chì
Nhôm
Câu hỏi
Nêu điều kiện để thu được hình ảnh sắc nét khi chụp X-quang.
2. Cải thiện độ tương phản
Như chúng ta biết, các mô khác nhau sẽ hiển thị khác nhau trong hình ảnh X-quang. Xương có thể dễ dàng phân biệt với mô mềm (chẳng hạn như cơ) vì xương là một chất hấp thụ tốt tia X. Tuy nhiên, bác sĩ luôn mong muốn phân biệt được hình ảnh của các bộ phận khác nhau nhưng có khả năng hấp thụ tia X như nhau. Để làm được điều này, người ta sử dụng hoá chất để tạo ra sự tương phản. Đối với chụp X-quang, thông thường người ta có thể sử dụng iodine hoặc barium là những chất hấp thụ tốt tia X. Bệnh nhân có thể được cho uống chất lỏng chứa barium hoặc tiêm chất lỏng tương tự vào mô của vị trí cần chụp. Các mô này sau khi được tiêm chất lỏng chứa barium sẽ hấp thụ tia X tốt hơn, do vậy biên của các mô này sẽ hiển thị rõ ràng hơn trên hình ảnh. Hình 6.8 là hình ảnh chụp X-quang ruột của một bệnh nhân sau khi được cho uống barium.
Trang 36

Hình 6.8. Hình ảnh X–quang ruột của bệnh nhân sau khi sử dụng barium. Hình ảnh này cũng đã được xử lí để làm nổi bật các đặc điểm cần quan tâm
Câu hỏi
Chỉ ra các yếu tố cải thiện độ tương phản trong chụp X-quang.
III. CHỤP CẮT LỚP
Chụp ảnh X-quang thông thường có hạn chế vì hình ảnh chụp xương, nội tạng,.. ở các độ sâu khác nhau trong cơ thể bị chồng lên nhau. Để khắc phục nhược điểm này, một kĩ thuật chẩn đoán hình ảnh được sử dụng đó là chụp cắt lớp.
Chụp cắt lớp (Computed Tomography Scan – CT Scan) hay còn gọi là chụp CT. Chụp cắt lớp là kĩ thuật chụp X-quang các bộ phận cơ thể ở các góc khác nhau. Các hình ảnh này được máy tính xử lí, dựng các hình ảnh cần chụp dưới dạng hai chiều hay ba chiều. Trong chụp cắt lớp người ta vẫn dùng ống phát tia X như chụp X-quang, nhưng phim chụp được thay bằng bộ cảm biến có độ nhạy hơn phim X-quang nhiều lần.
Để chụp cắt lớp, người ta điều chỉnh ống phát tia X di chuyển vòng quanh các bộ phận cần chụp của bệnh nhân, tạo ra một chùm tia X có dạng hình quạt (Hình 6.9). Ở mỗi vị trí của chùm tia X, sau khi đi qua bộ phận cơ thể cần chụp, chùm tia X bị suy giảm được các cảm biến ghi lại và lưu trong bộ nhớ của máy tính.
Khi chuyển động quét kết thúc, bộ nhớ của máy tính đã ghi nhận được một số rất lớn những thông tin ảnh X-quang ở các góc khác nhau. Máy tính sẽ xử lí và đưa ra hình ảnh phân giải cao 2D, 3D của bộ phận cần chụp.

Hình 6.9. Hoạt động của một máy chụp cắt lớp hiện đại. Ống phát tia X có thể quay xung quanh bộ phận cần chụp của bệnh nhân trong khi bộ phận thu nhận tín hiệu đứng yên
Ống phát tia X
Chùm tia X hình quạt
Mặt cắt ngang bộ phận cơ thể cần chụp
Các cảm biến gắn trên vòng cố định
Trang 37
Hoạt động
1. Giải thích lí do tại sao bệnh nhân có thể được yêu cầu nín thở trong khi chụp cắt lớp.
2. Giải thích lí do tại sao khi chụp não thì chụp cắt lớp lại thích hợp hơn X–quang (Hình 6.10).

Hình 6.10. Ảnh chụp não người bằng phương pháp chụp cắt lớp
Câu hỏi
Nêu những ưu điểm của phương pháp chụp cắt lớp so với phương pháp chụp X-quang thông thường.
Hoạt động
Thực hiện dự án thiết kế được một mô hình chụp cắt lớp đơn giản theo các bước sau:
Bước 1: Xác định nhiệm vụ: Tìm hiểu về mô hình chụp cắt lớp, lựa chọn mô hình.
Bước 2: Xác định ý tưởng thiết kế mô hình đã lựa chọn ở trên.
Bước 3: Thống nhất tiêu chí đánh giá mô hình.
Bước 4: Thực hiện thiết kế mô hình theo các tiêu chí đã đề xuất.
Bước 5: Xây dựng báo cáo và nội dung trình bày về mô hình đảm bảo có hình ảnh thực tế và bản thiết kế đã thực hiện.
Bước 6: Báo cáo và đánh giá dự án đã thực hiện.
Trang 38
EM ĐÃ HỌC
• Sơ lược cách chụp ảnh bằng tia X.
• Biết được một số cách cải thiện ảnh chụp bằng tia X:
+ Cải thiện độ sắc nét.
+ Cải thiện độ tương phản.
• Nguyên lí chụp cắt lớp.
• Nguyên tắc tạo ảnh trong chụp cắt lớp.
EM CÓ THỂ
• Giải thích được nguyên lí chụp X-quang.
•Mô tả quá trình và sự khác biệt cơ bản giữa các phương pháp chụp X-quang.
• Đánh giá được vai trò của chụp cắt lớp trong đời sống.
Bình Luận
Để Lại Bình Luận Của Bạn